In primo piano
Ultime novità
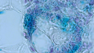
Dai batteri mangiaplastica il farmaco contro il Parkinson
Trasformano il Pet in L-DOPA con una nuova tecnica più sostenibile
Prima tecnica al mondo di super-risoluzione nel Sardinia Radio Telescope
Inaf, 'immagini dettagliate oltre il limite di diffrazione'
La moda segue un ciclo di 20 anni, lo dimostra la matematica
Ma negli ultimi anni la tendenza si sta frammentando, c'è più varietà
Sulla Luna si possono coltivare i ceci, ma servono compost e funghi
Prodotti i primi legumi con un simulante del suolo lunare, commestibilità da verificare
L'ambiente dei padri influenza la salute dei figli
Lascia tracce negli spermatozoi prima del concepimento
Nei molari fossili il diario segreto degli elefanti di 125mila anni fa
I dati fanno luce su spostamenti, dieta, sesso e sulle strategie di caccia dei Neanderthal
Interfaccia cervello-computer permette di digitare su una tastiera solo col pensiero
Bene i primi test su due pazienti tetraplegici
Lincei, le università telematiche garantiscano un insegnamento di qualità
Per non vanificare il beneficio di un accesso più ampio
Il Sole arriva dal cuore della Via Lattea, è fuggito quasi 5 miliardi di anni fa
Insieme a stelle gemelle
Il meteo spaziale può interferire con eventuali segnali
Colpa delle perturbazioni prodotte dall'attività delle stelle
Maxon entra ufficialmente nel mercato AEC con la soluzione Archviz in tempo reale
Redshift per Vectorworks è già disponibile; la beta di Autodesk Revit® è aperta alle iscrizioni; Graphisoft Archicad sarà rilasciato nel corso del 2026. Maxon presenta nel dettaglio il nuovo workflow 3D end-to-end per architetti e designer per il 2026 e oltre.
La scienza si trasforma in danza, primo premio all'italiana Sofia Papa
I movimenti delle cariche elettriche protagonisti di Dance your PhD
Sviluppati materiali dinamici, solidi che diventano morbidi con l'acqua
Fatti da proteine in una struttura ad alveare che può cambiare rigidità
Il cervello può distinguere il parlato dell'IA da quello umano
Ma non elabora le differenze
Il 16 marzo di 60 anni fa il primo aggancio tra 2 veicoli spaziali
Avvenne tra la capsula Gemini 8 della Nasa con due uomini a bordo e il satellite Agena
Lincei, va modificata la riforma delle assunzioni nelle università
Il presidente Antonelli: 'Il sorteggio dei commissari dei concorsi è un sistema fallito'
Con i ghiacciai scompare un archivio climatico di 6.000 anni
Pollini, fuliggine o metalli documentano anche l'arrivo dell'uomo
Simulato con un supercomputer l'intero ciclo vitale di una cellula
E' la prima volta. Si potranno capire processi chimici complessi
Due violinisti in contatto virtuale grazie a robot indossabili
Utili per allenare coordinazione e collaborazione, ma anche per la riabilitazione motoria
I raggi X rivelano la più antica mappa del cielo notturno fatta da Ipparco
Le prime indagini dimostrano che non fu copiato da Tolomeo
Eventi in tutta Italia per la Giornata internazionale della Matematica
Il 14 marzo, dalle cifre del Pi Greco, ma eventi in programma già da oggi
Un lampo cosmico fa luce sull'origine degli elementi pesanti
La distruzione come catalizzatore della formazione degli elementi
Le lune dei pianeti nomadi potrebbero essere ospitali per la vita
Con acqua liquida in superficie per miliardi di anni
In una mappa genetica i cambiamenti del cervello che invecchia
Comprende 900mila cellule e fa luce sulle malattie neurodegenerative
Costruita una molecola impossibile, non esiste in natura
Atomo per atomo, simulata grazie a un computer quantistico
Un francobollo per Fermi, nei 100 anni della sua fisica statistica
Presentato all'Accademia dei Lincei, come l'articolo del 1926
Effetto Trump sugli Ig Nobel, la premiazione si trasferisce in Europa
Ospiti internazionali sempre più restii a recarsi negli Usa
Antibiotici, gli effetti nocivi sul microbioma intestinale durano anni
Studio, per alcuni farmaci basta un solo ciclo per lasciare tracce fino a 8 anni
La siccità 'motore' delle migrazioni in Somalia
Mina la sicurezza alimentare. Lo studio del Politecnico di Milano
E' online la 'Google Earth' degli organi umani, per esplorarli in 3D
Immagini ad altissima risoluzione, utili per addestraRe l'IA
Il primo computer quantistico Partenope diventa fra i più potenti al mondo
E' passato da 25a 64 qubit. Bernini: 'più forte l'ecosistema italiano della ricerca'
I virus dell'influenza seguono le rotte aeree, lo indica un modello matematico
Team di ricerca di Padova e Milano scopre una struttura di circolazione nascosta