Zürcher Nachrichten - Médicos australianos hallan por primera vez una lombriz parásita en el cerebro de una mujer

EUR -
AED 4.266327
AFN 72.602888
ALL 96.045598
AMD 437.103753
ANG 2.079534
AOA 1065.27595
ARS 1623.419796
AUD 1.660456
AWG 2.093668
AZN 1.975506
BAM 1.956712
BBD 2.335279
BDT 142.276321
BGN 1.985698
BHD 0.438497
BIF 3443.70526
BMD 1.161697
BND 1.483604
BOB 8.029743
BRL 6.079504
BSD 1.15945
BTN 108.641175
BWP 15.887543
BYN 3.432585
BYR 22769.251731
BZD 2.331977
CAD 1.597925
CDF 2645.76246
CHF 0.915444
CLF 0.027004
CLP 1066.274537
CNY 8.007222
CNH 8.005872
COP 4304.062361
CRC 540.256487
CUC 1.161697
CUP 30.784958
CVE 110.316423
CZK 24.448487
DJF 206.475358
DKK 7.471933
DOP 69.462978
DZD 154.02952
EGP 61.070967
ERN 17.425448
ETB 179.250199
FJD 2.578737
FKP 0.867845
GBP 0.865714
GEL 3.142339
GGP 0.867845
GHS 12.667905
GIP 0.867845
GMD 85.390256
GNF 10162.73729
GTQ 8.879139
GYD 242.663116
HKD 9.093354
HNL 30.703577
HRK 7.535916
HTG 152.032177
HUF 390.334619
IDR 19619.36971
ILS 3.630708
IMP 0.867845
INR 109.529569
IQD 1518.908029
IRR 1525336.568915
ISK 143.806627
JEP 0.867845
JMD 182.976868
JOD 0.823622
JPY 184.409451
KES 150.265186
KGS 101.588619
KHR 4653.209117
KMF 494.883011
KPW 1045.493347
KRW 1735.49382
KWD 0.356014
KYD 0.96625
KZT 559.740919
LAK 24963.42164
LBP 103836.408796
LKR 364.45989
LRD 212.768265
LSL 19.766644
LTL 3.430188
LVL 0.702699
LYD 7.392414
MAD 10.809339
MDL 20.279278
MGA 4841.256719
MKD 61.640387
MMK 2439.131634
MNT 4146.061617
MOP 9.344056
MRU 46.244955
MUR 54.010439
MVR 17.959772
MWK 2010.537198
MXN 20.597114
MYR 4.585206
MZN 74.244083
NAD 19.766814
NGN 1597.6344
NIO 42.66989
NOK 11.261939
NPR 173.828525
NZD 1.989603
OMR 0.446615
PAB 1.15944
PEN 4.010569
PGK 5.007377
PHP 69.733125
PKR 323.935489
PLN 4.271285
PYG 7565.494041
QAR 4.228171
RON 5.09555
RSD 117.445202
RUB 93.517752
RWF 1696.290714
SAR 4.361242
SBD 9.342334
SCR 16.817866
SDG 698.179481
SEK 10.809778
SGD 1.484032
SHP 0.871573
SLE 28.579044
SLL 24360.207686
SOS 662.614577
SRD 43.378208
STD 24044.772443
STN 24.511637
SVC 10.145729
SYP 128.922229
SZL 19.765384
THB 37.720244
TJS 11.125286
TMT 4.077555
TND 3.400885
TOP 2.797086
TRY 51.514847
TTD 7.877672
TWD 37.105515
TZS 2982.724285
UAH 50.922437
UGX 4342.024005
USD 1.161697
UYU 47.252026
UZS 14145.593872
VES 533.07716
VND 30618.835095
VUV 138.774207
WST 3.193358
XAF 656.262912
XAG 0.015927
XAU 0.000256
XCD 3.139542
XCG 2.089674
XDR 0.81618
XOF 656.260087
XPF 119.331742
YER 277.187548
ZAR 19.614746
ZMK 10456.646968
ZMW 21.943134
ZWL 374.065804
Médicos australianos hallan por primera vez una lombriz parásita en el cerebro de una mujer
Médicos australianos hallan por primera vez una lombriz parásita en el cerebro de una mujer / Foto: Handout - Universidad Nacional Australiana/AFP

Médicos australianos hallan por primera vez una lombriz parásita en el cerebro de una mujer

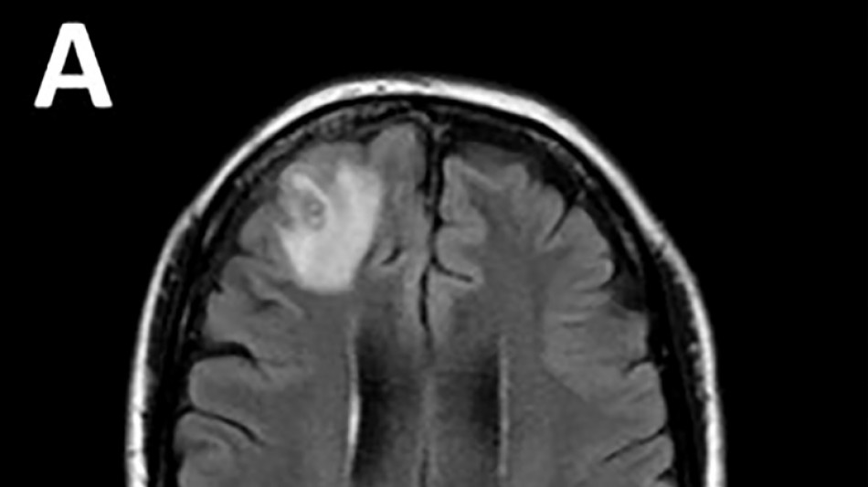
Una lombriz parásita usualmente encontrada en serpientes fue retirada "viva y coleando" del cerebro de una mujer, algo que no se había visto en los registros médicos, informaron el martes médicos australianos.

Tamaño del texto:

Desconcertados, los médicos realizaron una resonancia magnética a una mujer australiana de 64 años después de que comenzara a sufrir lapsos de memoria y notaron una "lesión atípica" en el frente de su cerebro.

Era una lombriz de ocho centímetros llamada Ophidascaris robertsi, que según investigadores son parásitos comunes en canguros y pitones diamantina pero no en humanos.

"Este es el primer caso humano de una Ophidascaris en el mundo", afirmó el experto en enfermedades infecciosas Sanjaya Senanayake.

"Hasta donde sabemos, es también la primera vez que aparece en el cerebro de una especie de mamífero, humano o no", agregó.

Los investigadores creen que la mujer se infectó después de buscar arbustos comestibles cerca de su casa que podrían haber estado contaminados con larvas parasitarias diseminadas en las heces de las serpientes.

"Nunca es fácil o deseable ser el primer paciente del mundo para nada", indicó Senanayake.

"No puedo enfatizar más nuestra admiración por esta mujer que ha mostrado paciencia y coraje en el proceso", agregó.

El caso fue publicado en el diario Emerging Infectious Diseases y Senanayake anticipó que podrían detectarse más casos en otros países.

O.Pereira--NZN