Zürcher Nachrichten - Un ver qui parasite les serpents découvert dans le cerveau d'une Australienne

EUR -
AED 4.253793
AFN 73.538311
ALL 96.012872
AMD 436.811565
ANG 2.073056
AOA 1061.957069
ARS 1594.404251
AUD 1.662949
AWG 2.087146
AZN 1.967907
BAM 1.952753
BBD 2.333738
BDT 142.199929
BGN 1.979513
BHD 0.437188
BIF 3439.490881
BMD 1.158078
BND 1.481252
BOB 8.006885
BRL 6.049219
BSD 1.158682
BTN 108.992733
BWP 15.791107
BYN 3.434259
BYR 22698.323661
BZD 2.330614
CAD 1.598929
CDF 2640.417213
CHF 0.916078
CLF 0.026914
CLP 1062.697695
CNY 7.992473
CNH 7.991953
COP 4287.771244
CRC 538.780131
CUC 1.158078
CUP 30.68906
CVE 110.741159
CZK 24.465541
DJF 205.813906
DKK 7.473348
DOP 69.918955
DZD 153.548932
EGP 60.832783
ERN 17.371166
ETB 182.173115
FJD 2.601013
FKP 0.865346
GBP 0.865298
GEL 3.120975
GGP 0.865346
GHS 12.680718
GIP 0.865346
GMD 85.116128
GNF 10167.922589
GTQ 8.86839
GYD 242.440496
HKD 9.053331
HNL 30.712537
HRK 7.537113
HTG 151.948123
HUF 386.461924
IDR 19514.76796
ILS 3.608397
IMP 0.865346
INR 108.902099
IQD 1517.081837
IRR 1520729.78105
ISK 143.208453
JEP 0.865346
JMD 182.519893
JOD 0.821096
JPY 184.418109
KES 150.260853
KGS 101.272974
KHR 4647.365541
KMF 494.499603
KPW 1042.286578
KRW 1737.441285
KWD 0.354974
KYD 0.965639
KZT 559.089227
LAK 24997.108058
LBP 103705.861729
LKR 364.424437
LRD 212.681294
LSL 19.618142
LTL 3.419502
LVL 0.70051
LYD 7.382801
MAD 10.801971
MDL 20.261343
MGA 4829.183971
MKD 61.657391
MMK 2432.15733
MNT 4133.721531
MOP 9.331543
MRU 46.473894
MUR 53.816164
MVR 17.892624
MWK 2011.581663
MXN 20.530511
MYR 4.591194
MZN 74.003039
NAD 19.60631
NGN 1605.454434
NIO 42.524631
NOK 11.217755
NPR 174.391379
NZD 1.989022
OMR 0.445279
PAB 1.158747
PEN 4.007533
PGK 4.990736
PHP 69.517674
PKR 323.162008
PLN 4.275217
PYG 7539.299492
QAR 4.220007
RON 5.095663
RSD 117.432579
RUB 93.801927
RWF 1690.793497
SAR 4.344623
SBD 9.313304
SCR 17.058428
SDG 696.005112
SEK 10.807494
SGD 1.482044
SHP 0.868858
SLE 28.43085
SLL 24284.32366
SOS 661.262482
SRD 43.243198
STD 23969.871023
STN 24.782864
SVC 10.139308
SYP 128.486707
SZL 19.569633
THB 37.787798
TJS 11.095647
TMT 4.053272
TND 3.401852
TOP 2.788373
TRY 51.370242
TTD 7.87901
TWD 36.94728
TZS 2976.328133
UAH 50.873868
UGX 4287.420243
USD 1.158078
UYU 46.90781
UZS 14128.548223
VES 535.136558
VND 30515.348392
VUV 138.399637
WST 3.17105
XAF 654.963162
XAG 0.015959
XAU 0.000254
XCD 3.129763
XCG 2.088422
XDR 0.81354
XOF 652.57625
XPF 119.331742
YER 276.375769
ZAR 19.58907
ZMK 10424.085847
ZMW 21.698169
ZWL 372.900559
  • AEX

    8.8700

    983.13

    +0.91%

  • BEL20

    108.2900

    5052.97

    +2.19%

  • PX1

    102.9900

    7846.55

    +1.33%

  • ISEQ

    267.3000

    12362.55

    +2.21%

  • OSEBX

    23.8700

    1980.05

    +1.22%

  • PSI20

    132.3400

    9014.42

    +1.49%

  • ENTEC

    -5.8300

    1416.23

    -0.41%

  • BIOTK

    80.4500

    3624.57

    +2.27%

  • N150

    55.6000

    3837.98

    +1.47%

Un ver qui parasite les serpents découvert dans le cerveau d'une Australienne
Un ver qui parasite les serpents découvert dans le cerveau d'une Australienne / Photo: Handout - Université nationale australienne/AFP

Un ver qui parasite les serpents découvert dans le cerveau d'une Australienne

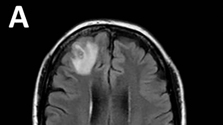
Un ver rond, qui parasite généralement les serpents, a été découvert pour la première fois sur un être humain, extrait "vivant et se tortillant" du cerveau d'une Australienne lors d'une intervention chirurgicale, ont annoncé mardi des médecins australiens.

Taille du texte:

Les médecins ont découvert une "lésion atypique", grâce à un examen IRM, dans la partie frontale du cerveau de l'Australienne, âgée de 64 ans, qui souffrait de pertes de mémoire.

Il s'agissait d'un Ophidascaris robertsi, un ver rond de huit centimètres qui, selon les chercheurs, est un parasite des kangourous et des pythons, en Australie. Il parasite des animaux dans d'autres régions du monde, mais il n'avait encore jamais été détecté sur un être humain.

"Il s'agit du tout premier cas humain d'Ophidascaris décrit dans le monde", a déclaré le docteur Sanjaya Senanayake, spécialiste des maladies infectieuses.

"À notre connaissance, c'est également le premier cas impliquant le cerveau d'une espèce de mammifère, humaine ou autre", a-t-il précisé.

Cette découverte a fait l'objet d'un article dans la revue "Emerging Infectious Diseases".

Les scientifiques pensent que l'Australienne a été parasitée par des plantes comestibles, probablement contaminées par des larves présentes dans des excréments de serpents.

Le parasite, dont la "structure en forme de fil" est apparue sur les scanners cérébraux, a ensuite été identifié grâce à des tests ADN.

"Il n'est jamais facile ni souhaitable d'être le premier à être malade de quoi que ce soit au monde", a ajouté le Dr Senanayake, "je ne saurais trop exprimer notre admiration pour cette femme, qui a fait preuve de patience et de courage tout au long de ce processus."

Selon le Dr Senanayake, il est "probable que d'autres cas soient identifiés à l'avenir".

T.Gerber--NZN